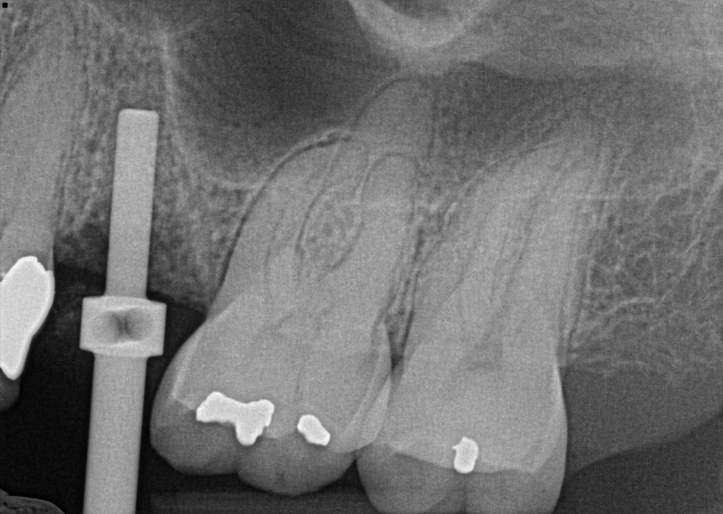
Sinus lift #13 case
This case required careful planning using advanced CBCT imaging, available at our Orland Park dental office. Tooth #13 split in half and required extraction. The decision was made to graft the site and restore the tooth with a dental implant. The 3d image showed a low sinus floor that required indirect sinus lifting, and careful insertion of the implant achieved that. The patient is now awaiting her crown after a 4 month period for healing. A guiding pin is shown in the first implant, followed by the insertion of the implant after the floor of the sinus was lifted.


